ファミリー歯科の矯正歯科
矯正治療は、いわゆる出っ歯や受け口、八重歯など単に歯並びを改善するだけでなく、噛み合わせを整えることにより余分な負荷を軽減し、噛み合わせからくる全身への影響を改善するほか、結果的に虫歯予防やご自分の歯を長持ちさせることにつながります。
歯並びが悪いと・・・
1.むし歯や歯周病になりやすい。
2.良くかめない(そのため、胃腸障害が起こる)
3.あごの成長、顔かたちにも影響する。
4.口もとが気になる。(コンプレックス)
5.発音しにくい。
矯正歯科の症例
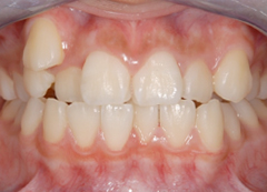
叢生の症例1
![]() |
![]() |
| 治療前 | 治療後 |
![]() |
![]() |
| 治療前 | 治療後 |
叢生の症例2
![]() |
![]() |
| 治療前 | 治療後 |
![]() |
![]() |
| 治療前 | 治療後 |
大人の矯正歯科
すべての歯が永久歯になり、成長が完了した方のための矯正治療です。だいたい18歳くらいからの矯正です。健康な歯や歯ぐきであれば、高齢の方でも矯正治療は可能です。
成長期の治療に比べると歯の移動速度は遅く一般的に成人期の治療の方が若干時間がかかる場合がありますが、逆に歯の移動計画を立てやすいという利点もあります。
治療期間を短くする方法としては、インプラント矯正といって、インプラントを支点にして矯正を行う方法があり、この場合通常の矯正よりも治療期間を短くする事が出来ます。他に「コルチコトミー」や「オステオトミー」といった口腔外科手術を併用した方法があります。
矯正装置の種類
マルチブラケット
矯正治療に幅広く対応できる治療法です。金属やセラミックのブラケットと呼ばれる装置を歯面に接着して行います。
床矯正
床(しょう)矯正は成長期の小児によく使用されるプレート状の装置です。着脱可能なため、食事や歯みがきがしやすいメリットがあります。
マウスピース型矯正装置
(インビザライン・クリアコレクト等)
矯正には興味があるけれど装置が見えてしまうのがイヤという方は大勢いらっしゃいますよね。
着脱可能なオーダーメイドの透明マウスピースを患者様自身で装着する矯正治療です。2週間ごとに新しいマウスピースに交換し、歯並びをステップごとに理想的な位置に動かしていきます。
※マウスピース型矯正装置(インビザライン)は医薬品医療機器等法(薬機法)の承認を受けていない未承認医薬品です。米アライン・テクノロジー社の製品であり、
インビザライン・ジャパン社を介して入手しています。 日本国内にもマウスピース型矯正装置として医薬品医療機器等法(薬機法)の承認を受けているものは複数存在しますが、
マウスピース型矯正装置(インビザライン)は1998年に FDA(米国食品医薬品局)により医療機器 として認証を受けています。 日本ではマウスピース型矯正歯科装置(インビサライン)は完成物薬機法対象外の矯正歯科装置であり、承認薬品を対象とする医薬品副作用被害救済制度の対象外となる場合があります。
また、マウスピース型矯正装置(クリアコレクト)はスイス・ストローマン社の製品であり、ストローマン・ジャパン社を介して入手しています。2009年にFDA(米国食品医薬品局)により医療機器 として認証を受けていますが同様に薬機法対象外となり承認薬品を対象とする医薬品副作用被害救済制度の対象外となる場合があります。















