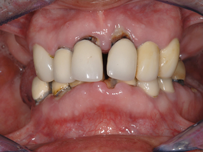
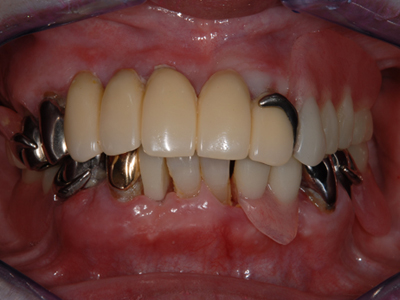
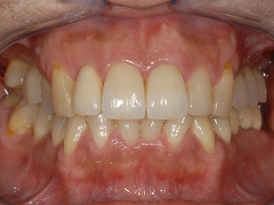
全顎の症例
![]() |
![]() |
全顎の症例
![]() |
![]() |
全顎の症例
![]() |
![]() |
全顎の症例
![]() |
![]() |
全顎の症例
![]() |
![]() |
前歯部の症例
![]() |
![]() |
上顎無歯顎の症例
![]() |
![]() |
入れ歯から全顎インプラントの症例
![]() |
![]() |
全顎の症例
![]() |
![]() |
虫歯と欠損による不正咬合の症例
![]() |
![]() |
前歯部欠損の症例
![]() |
![]() |
不正咬合による、審美性の悪い症例
![]() |
![]() |































